Mi nombre es Paulina Soto Muñoz, pero soy más conocida por mi apodo de Chipy o @paulinasotodentista. Nací el 22 de julio de 1990. Soy una jóven emprendedora y empresaria Chilena, Cirujano Dentista Especialista en Implantología Oral Quirúrgico Protésico, Mentora de Dentistas y Estudiantes de Odontología, y CEO y líder del Proyecto Odontología Personalizada e Implantología Avanzada (@paulinasotodentista).
Ver másClientes
Casos completados
Clientes Felices
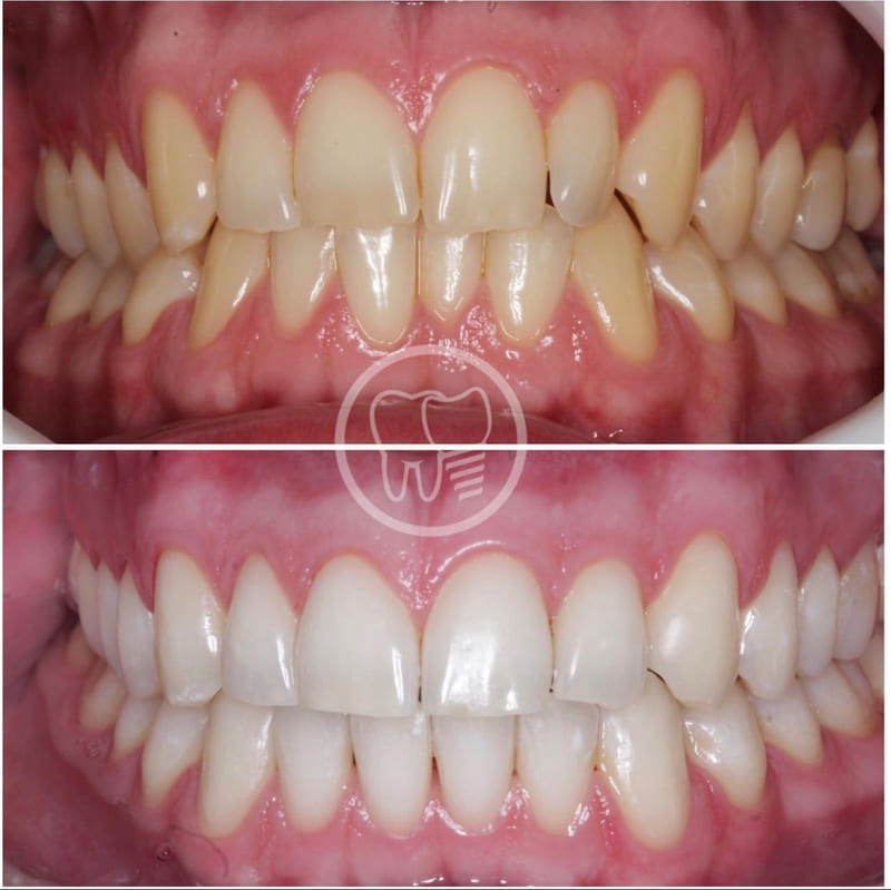
Llegó el momento de transformar tu sonrisa y redescubrir la confianza en cada risa. En Kameconsulta, estamos listos para acompañarte en este viaje hacia una sonrisa radiante y saludable.
Descubre lo que nuestros valiosos pacientes tienen que decir sobre su experiencia con nuestros servicios del proyecto odontología personalizada e implantología avanzada.
Muchas gracias paulinita y a todo su equipo de especialistas, han sobrepasado mis expectativas estéticas, estoy muy contento con mi nueva sonrisa, donde ustedes aplicaron todos sus talentos con blanqueamiento, restauraciones de resina y carillas cerámicas. Jamás pensé que al comenzar con una teleconsulta terminaría con tremenda obra de arte. ¡Muchas gracias!
Muchas gracias Pauli por rejuvenecer mi sonrisa, fue un tratamiento largo de ortodoncia, implantes, carillas y coronas, pero quedé regia, ¡Me encanta porque ahora puedo comer y sonreír con seguridad!
Muchas gracias Doctora Soto, gracias a su profesionalismo ahora la abejita Sally @abejita_sally podrá sonreír y vender su rica miel sin vergüenza, ¡Me encantaron las prótesis!, Ojalá con la ayuda de Dios pueda realizarme en el futuro mi tratamiento soñado con implantes.
© Proyecto Odontología Personalizada e Implantología Avanzada @paulinasotodentista. Todos los derechos reservados.
Diseñado por Digital Future Agency